产品中心 抗体 病理/IHC抗体

所有图片(1/5)

MDR1/ABCB1 Recombinant Rabbit mAb,PBS Only (SDT-872-21)

ATP-dependent translocase ABCB1,TP-binding cassette sub-family B member 1,Multidrug resistance protein 1,P-glycoprotein 1,Phospholipid transporter ABCB1,CD243,PGY1

货号: S0B2315P

Datasheet COA
  • 价格: 询价
  • 规格:
  • 数量:
申请试用 斯达特大包装询价 大包装询价

产品介绍 评论(0)

产品规格
  • 宿主来源

    Rabbit
  • 分子别名

    ATP-dependent translocase ABCB1, TP-binding cassette sub-family B member 1, Multidrug resistance protein 1, P-glycoprotein 1, Phospholipid transporter ABCB1, CD243, PGY1
  • 免疫原

    Recombinant Protein
  • 细胞定位

    Cell membrane, Cytoplasm
  • Accession

    P08183
  • 克隆号

    SDT-872-21
  • 抗体类型

    Recombinant mAb
  • 抗体同种型

    IgG
  • 应用

    IHC-P, WB
  • 反应种属 ?

    Hu
  • 纯化方式

    Protein A
  • 浓度

    1mg/ml
  • 标记

    Unconjugated
  • 性状

    Liquid
  • 缓冲体系

    PBS
  • 储存条件

    12 months from date of receipt / reconstitution, 4 °C as supplied

稀释度
应用 稀释度
WB 1:1000
IHC-P 1:500-1:1000
背景介绍
  • MDR1 is a member of the superfamily of ATP-binding cassette (ABC) transporters. ABC proteins transport various molecules across extra- and intra-cellular membranes. MDR1 is a member of the MDR/TAP subfamily. Members of the MDR/TAP subfamily are involved in multidrug resistance. The protein encoded by this gene is an ATP-dependent drug efflux pump for xenobiotic compounds with broad substrate specificity. It is responsible for decreased drug accumulation in multidrug-resistant cells and often mediates the development of resistance to anticancer drugs. This protein also functions as a transporter in the blood-brain barrier.

  • 免疫印迹

    • WB result of MDR1/ABCB1 Rabbit mAb
      Primary antibody: MDR1/ABCB1 Rabbit mAb at 1/1000 dilution
      Lane 1: unboiled SH-SY5Y whole cell lysate 10 µg
      Secondary antibody: Goat Anti-rabbit IgG, (H+L), HRP conjugated at 1/10000 dilution
      Predicted MW: 141 kDa
      Observed MW: 180 kDa

  • 免疫组化

    • IHC shows positive staining in paraffin-embedded human colon. Anti-MDR1/ABCB1 antibody was used at 1/1000 dilution, followed by a HRP Polymer for Mouse & Rabbit IgG (ready to use). Counterstained with hematoxylin. Heat mediated antigen retrieval with Tris/EDTA buffer pH9.0 was performed before commencing with IHC staining protocol.

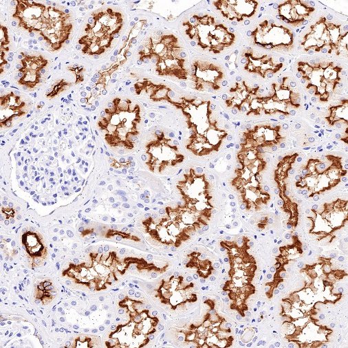
    • IHC shows positive staining in paraffin-embedded human kidney. Anti-MDR1/ABCB1 antibody was used at 1/1000 dilution, followed by a HRP Polymer for Mouse & Rabbit IgG (ready to use). Counterstained with hematoxylin. Heat mediated antigen retrieval with Tris/EDTA buffer pH9.0 was performed before commencing with IHC staining protocol.

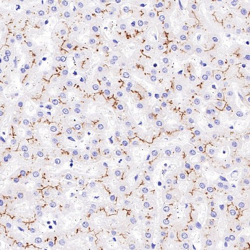
    • IHC shows positive staining in paraffin-embedded human liver. Anti-MDR1/ABCB1 antibody was used at 1/1000 dilution, followed by a HRP Polymer for Mouse & Rabbit IgG (ready to use). Counterstained with hematoxylin. Heat mediated antigen retrieval with Tris/EDTA buffer pH9.0 was performed before commencing with IHC staining protocol.

    • IHC shows positive staining in paraffin-embedded human hepatocellular carcinoma. Anti-MDR1/ABCB1 antibody was used at 1/1000 dilution, followed by a HRP Polymer for Mouse & Rabbit IgG (ready to use). Counterstained with hematoxylin. Heat mediated antigen retrieval with Tris/EDTA buffer pH9.0 was performed before commencing with IHC staining protocol.

    评论(0)