PSA重组兔单抗如何提升前列腺癌诊疗的精准度?
前列腺特异性抗原是由前列腺上皮细胞特异性合成与分泌的一种丝氨酸蛋白酶。其生理功能主要与精液液化相关,正常情况下仅有微量透过血-前列腺屏障进入血液循环。

- 最新进展
- 产品信息
最新进展
一、总前列腺特异性抗原为何是前列腺癌的核心标志物?
前列腺特异性抗原是由前列腺上皮细胞特异性合成与分泌的一种丝氨酸蛋白酶。其生理功能主要与精液液化相关,正常情况下仅有微量透过血-前列腺屏障进入血液循环。这种高度的器官特异性使其成为目前公认的前列腺相关疾病,尤其是前列腺癌的独特血清学标志物。当前列腺组织发生恶性转化时,肿瘤的生长会破坏正常组织结构屏障,同时癌细胞可能过度产生PSA,共同导致血清总前列腺特异性抗原水平的显著升高。临床上,通常将血清TPSA浓度大于10.0 ng/mL视为具有高度提示意义的阳性临界值,其诊断前列腺癌的特异性可达90%至97%。因此,TPSA检测构成了前列腺癌筛查、辅助诊断以及高危人群风险分层的关键基石。然而,其诊断价值受到一定范围的限制,亟需更精准的检测工具以优化其应用。
二、TPSA检测在疾病管理中扮演何种角色?
TPSA的临床应用贯穿于前列腺癌管理的多个阶段。在早期筛查与诊断环节,对于无症状的男性高危人群(如年龄大于50岁或有家族史者),定期进行血清TPSA检测有助于早期发现肿瘤。当患者被确诊并接受治疗后,TPSA的动态监测则成为评估疗效与监测复发的重要手段。例如,在接受根治性前列腺切除术后的患者中,成功的治疗应使血清TPSA水平在短期内降至无法检测的极低水平。若术后PSA水平再次出现可检测到的升高,通常提示存在残留病灶或疾病复发。同样,在接受放射治疗的患者中,治疗有效者多数可在数月内观察到PSA水平显著下降至正常范围。由此可见,准确、灵敏且可重复的TPSA定量检测,是临床进行有效决策的前提。这便对检测试剂的核心组分——抗体的质量提出了严苛要求。

三、为何需要引入游离前列腺特异性抗原比值分析?
尽管TPSA是重要的标志物,但其单独使用存在显著局限性。主要原因在于,血清TPSA水平在4.0至10.0 ng/mL这一"诊断灰区"内时,良性的前列腺增生与早期前列腺癌患者的检测值存在大量重叠,导致基于单一TPSA值难以可靠区分良恶性病变。为克服这一挑战,临床引入了游离前列腺特异性抗原检测及FPSA/TPSA比值计算。FPSA是指未与血清中蛋白酶抑制剂结合的PSA形式。研究发现,前列腺癌患者血清中FPSA所占比例通常低于良性前列腺增生患者。当设定FPSA/TPSA比值的临界值为0.15时,该指标在鉴别诊断中展现出优越的性能:其诊断敏感性、特异性及准确性均明显超越单独使用TPSA,尤其适用于TPSA值处于2-20 ng/mL范围内的未治疗患者。这一进展凸显了同时精确测定不同PSA分子形式的重要性。
四、PSA重组兔单抗在精准检测中有何技术优势?
实现TPSA与FPSA的高精度定量检测,高度依赖于免疫分析方法的性能,而抗体的质量是决定方法优劣的核心。PSA重组兔单抗在此领域展现出多重技术优势。首先,其生产基于重组DNA技术,在哺乳动物细胞等系统中表达,确保了抗体批次间的高度均一性和稳定性,这是实现检测试剂标准化与结果可比性的基础。其次,兔源单克隆抗体通常具有比鼠源抗体更高的亲和力,这对于检测低浓度样本(如术后监测)至关重要,可有效提升检测灵敏度,降低假阴性风险。再者,通过基因工程手段,可以对抗体进行定向设计与筛选,获得针对PSA分子不同表位或不同存在形式(如特异性识别游离态而不识别结合态)的高特异性配对抗体,从而直接构建出能够准确区分并定量FPSA与总PSA的检测体系。此外,重组抗体易于进行多种标记(如酶、荧光、电化学标记),可灵活适配于化学发光、酶联免疫吸附测定、免疫层析等不同检测平台,满足从中心实验室到床旁快速检测的多样化需求。
五、如何解读PSA检测结果及注意事项?
临床医生在解读PSA检测报告时,需采取综合、审慎的态度。首先,必须认识到多种因素可影响血清PSA水平。前列腺炎、急性尿潴留、近期进行的直肠指诊、前列腺活检或膀胱镜检查等,均可能导致PSA一过性升高,造成假阳性。相反,某些治疗良性前列腺增生的药物(如5α-还原酶抑制剂)可能使PSA水平降低。因此,了解患者的近期病史与操作史对于正确判读结果至关重要。其次,应结合FPSA/TPSA比值进行综合判断,尤其是在TPSA值处于"灰区"时。但需注意,当TPSA值低于2.0 ng/mL或高于20.0 ng/mL时,该比值的鉴别诊断价值有限。最后,PSA检测不能替代病理诊断,其异常结果需结合影像学检查(如多参数磁共振成像)并最终通过前列腺穿刺活检来明确诊断。
六、提供PSA重组兔单抗的厂商有哪些?
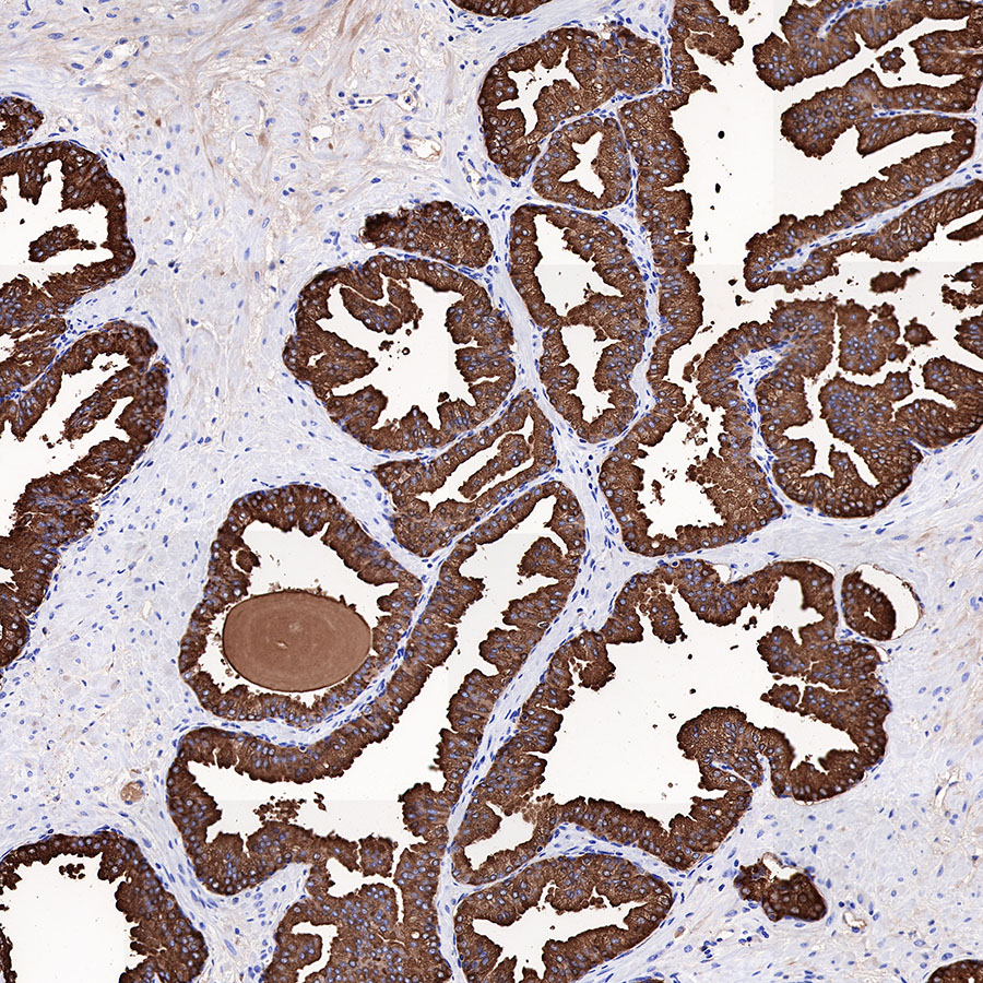
杭州斯达特生物科技有限公司自主研发的"PSA Recombinant Rabbit mAb (SDT-195-81)"(货号:S0B3185),是一款基于其先进重组兔单抗平台开发、具有卓越特异性、高亲和力及优异批次一致性的靶向前列腺特异性抗原(PSA)核心原料抗体。本品通过独特的表位识别设计,为开发高灵敏度、高特异性的前列腺癌体外诊断(IVD)试剂及开展前沿转化研究提供了又一关键工具。
| 产品核心优势 |
|---|
| 卓越的配对特异性与高亲和力:本品针对PSA分子的特异性表位进行开发,与公司现有PSA抗体(货号S0B2133等)经过验证可实现高效配对。其重组兔单抗属性提供了远超传统抗体的亲和力与特异性,显著降低诊断检测中的非特异性背景与交叉反应风险。 |
| 优异的批次均一性与生产稳定性:采用重组表达系统进行标准化生产,从根本上保证了批间一致性,确保基于本品开发的诊断试剂盒性能长期稳定可靠,满足严格的IVD原料法规与规模化生产需求。 |
| 卓越的平台兼容性与宽动态范围:本品经过严格验证,在化学发光免疫分析(CLIA)、酶联免疫吸附测定(ELISA)、免疫荧光层析及蛋白芯片等多种检测平台上均表现出优异的性能,有助于实现宽动态范围的准确定量检测。 |
| 经过验证的高性能配对方案:本品已与公司同靶点其他单抗经过系统性配对测试,可作为捕获抗体或检测抗体,为客户提供"即用型"的高性能抗体对解决方案,大幅缩短IVD试剂盒的开发周期与验证成本。 |
| 适用于多类关键应用场景 |
|---|
| 高端IVD化学发光试剂开发:作为核心配对抗体,用于开发第三代或第四代高灵敏度、高精密度的PSA定量检测试剂盒,服务于前列腺癌的早期筛查、辅助诊断与疗效监测。 |
| 快速检测平台开发:适用于荧光免疫层析、微流控等快速检测平台,开发用于门急诊或家庭自测的POCT产品。 |
| 病理诊断辅助:经过适当验证后,可用于免疫组化(IHC)检测,辅助前列腺癌的病理诊断与鉴别诊断。 |
| 液体活检与前沿研究:凭借其高亲和力,可用于开发超灵敏检测方法,以分析循环肿瘤细胞(CTCs)、外泌体或微量组织样本中的PSA,服务于微小残留病灶(MRD)监测与转化医学研究。 |
专业技术支持:我们提供针对性的产品技术资料,包括详细的配对验证数据、在不同检测平台上的性能曲线、推荐的配对方案及抗体序列信息(根据合作层级),全力支持客户高效完成诊断试剂的核心原料选型与产品开发。
杭州斯达特生物科技有限公司始终致力于为全球IVD企业、创新药企及顶尖科研机构提供高质量、高价值、可溯源的生物核心试剂与定制化解决方案。如需了解更多关于"PSA Recombinant Rabbit mAb (SDT-195-81)"(货号:S0B3185)的详情、申请配对验证数据或样品测试,欢迎与我们联系。
产品信息
声明:本篇文章在创作中部分采用了人工智能辅助。如有任何内容涉及版权或知识产权问题,敬请告知,我们承诺将在第一时间核实并撤下。
