



产品介绍 评论(0)
宿主来源
Rabbit抗原名称
GCDFP-15分子别名
Prolactin-inducible protein,Secretory actin-binding protein (SABP),gp17,GPIP4,PIP免疫原
Synthetic Peptide细胞定位
SecretedAccession
P12273克隆号
SDT-010-579抗体类型
Rabbit mAb抗体同种型
IgG应用
IHC-P ? ,WB反应种属 ?
Hu纯化方式
Protein A研究领域
Immunology浓度
0.5mg/ml分子量
16kDa
性状
Liquid缓冲体系
PBS, 40% Glycerol, 0.05%BSA, 0.03% Proclin 300
储存条件
12 months from date of receipt / reconstitution, -20 °C as supplied
| 应用 | 稀释度 | 推荐种属 |
|---|---|---|
| WB | 1:1000 | Hu |
| IHC-P | 1:100 | Hu |
Gross cystic disease fluid protein 15 (GCDFP-15) also known as Prolactin-inducible protein, extra-parotid glycoprotein (EP-GP), gp17 seminal actin-binding protein (SABP) or BRST2 is a protein that in humans is encoded by the PIP gene. It is upregulated by prolactin and androgens and downregulated by estrogen. The protein has a physiological function in regulation of water transport mainly in apocrine glands in the axilla, vulva, eyelid and ear canal, serous cells of the submandibular salivary gland, serous cells of the submucosal glands of the bronchi, and accessory lacrimal glands as well as cutaneous eccrine glands. It is also found in amniotic fluid and seminal fluid. PIP has the ability to bind immunoglobulin G (IgG), IgG-Fc, CD4-T cell receptor suggesting a wide range of immunological functions. PIP also binds to AZGP1. PIP exerts aspartyl proteinase activity able to cleave fibronectin. Mitogenic effect of PIP was observed on both normal and malignant breast epithelial cells.
免疫印迹
WB result of anti-GCDFP-15 antibody
Primary antibody : Anti-GCDFP-15 antibody at 1/1000 dilution
Lane 1 : MCF-7 whole cell lysate 20 µg
Lane 2 : T47D whole cell lysate 20 µg
Negative control: MCF-7 whole cell lysateSecondary antibody: Goat Anti-Rabbit IgG, (H+L), HRP conjugated at 1/10000 dilution
Predicted MW: 16 kDa
Observed MW: 16 kDa
Exposure time: 9 seconds
免疫组化
IHC shows positive staining in paraffin-embedded human breast cancer.
Anti-GCDFP-15 antibody was used at 1:100 dilution, followed by a Goat Anti-Rabbit IgG H&L (HRP) ready to use.
Counterstained with hematoxylin.
Heat mediated antigen retrieval with Tris/EDTA buffer pH9.0 was performed before commencing with IHC staining protocol.
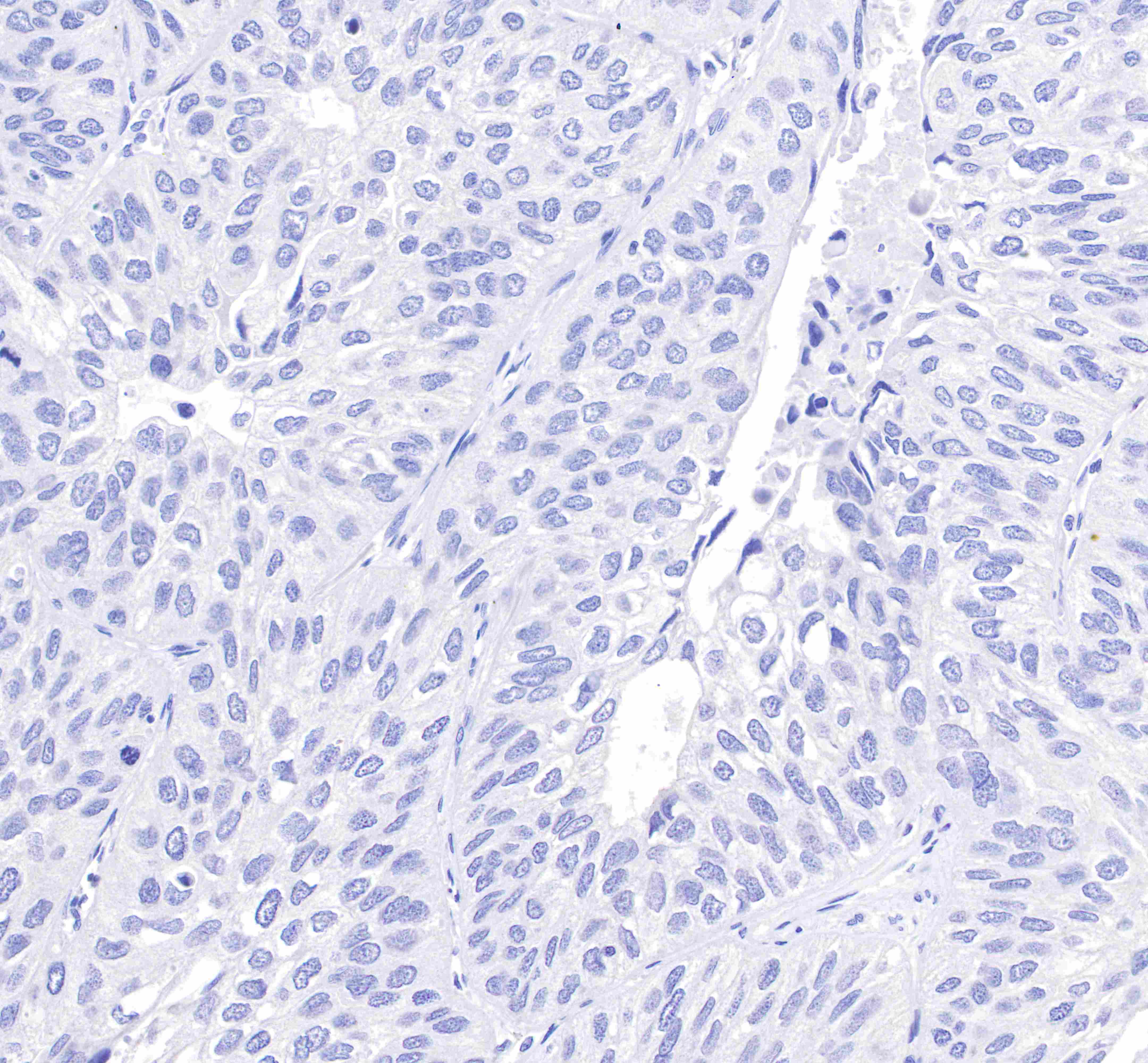
IHC shows negative staining in paraffin-embedded human lung squamous cell cancer (negative tissue).
Anti-GCDFP-15 antibody was used at 1:100 dilution, followed by a Goat Anti-Rabbit IgG H&L (HRP) ready to use.
Counterstained with hematoxylin.
Heat mediated antigen retrieval with Tris/EDTA buffer pH9.0 was performed before commencing with IHC staining protocol.
IHC shows negative staining in paraffin-embedded human colon (negative tissue).
Anti-GCDFP-15 antibody was used at 1:100 dilution, followed by a Goat Anti-Rabbit IgG H&L (HRP) ready to use.
Counterstained with hematoxylin.
Heat mediated antigen retrieval with Tris/EDTA buffer pH9.0 was performed before commencing with IHC staining protocol.

申请试用
评论(0)